大人の矯正
- ホーム
- 大人の矯正
●大人になっても歯並びを綺麗に治すことができます

「矯正治療は子供のもの?」というイメージを抱いている方も多いかと思いますが、近年、大人の方でも矯正治療を希望される方が増えてきています。 現代では矯正治療の技術も進歩しておりますので、矯正治療に年齢制限はありません。 大人の場合は、成長期にある子供とは違って顎の大きさや形がほぼ完成しています。 そのため顎の中における歯の移動予測が比較的立てやすくなります。 また親に言われて仕方なく…という思春期の難しい時期に始める治療よりも自分の意思で治療を受けていただけるため、普段の口腔ケアも積極的に行うことが可能で効率的に治療を進めることができます。

●特徴
装置の種類をお好みで選んでいただけます
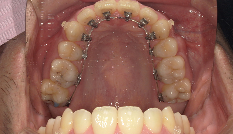
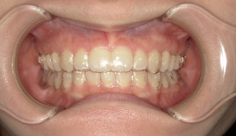
昔と異なり、最近の矯正治療では審美性の高い目立たない装置が主流です。
当院では、歯の色に近いブラケットと審美的なワイヤーを使用しています。 さらに見た目が気になる方には、以下の「見えない矯正装置」をご用意しています。

歯の裏側に装置を装着するため、人に気づかれずに治療が可能です。
以前より装置が薄くなり、舌への違和感も小さくなっています。

透明で取り外し可能なマウスピースを使用し、目立たずに歯を動かします。
近年、患者数が急増しています。

矯正をファッションとして楽しみたい方には、季節や気分に合わせて色を変えられるカラーゴムを用いた矯正治療も可能です。
また、他院でマウスピース矯正を断られた方には、ワイヤー矯正とマウスピース矯正を組み合わせた『ハイブリッド矯正』もご提案できます。
\ 見た目に配慮した治療を希望される方へ /

●流れ
-
初回相談・カウンセリング
お悩みや治療への希望、予算などを歯科医師に伝えます。
治療の概要、大まかな期間や費用について説明を受けます。 -
精密検査・診断
正確な治療計画を立てるために、レントゲン撮影(パノラマ、セファロなど)、
口腔内・顔貌写真撮影、歯型採取(スキャナ含む)などの精密検査を行います。
検査結果をもとに、歯科医師が最終的な診断を下し、具体的な治療計画を立てます。 -
治療計画の説明・同意
診断結果、具体的な治療方法(装置の種類)、治療期間、総費用について詳しく説明を受けます。抜歯などの事前処置が必要な場合もこの段階で説明があります。 内容に納得できたら、治療開始の同意をします。
-
事前処置・装置の準備
矯正治療の前に、虫歯や歯周病がある場合はその治療を優先して行います。 必要に応じて、抜歯や歯のクリーニングを行います。 患者さん一人ひとりに合わせた矯正装置(ブラケットやマウスピース)を製作します。
-
治療スタート(動的治療)
矯正装置を装着し、歯を動かし始めます。 通院ペースは、通常4〜6週間に一度が目安です。 ワイヤーの調整や、マウスピースの交換(1~2週間ごと)を行い、歯の移動をコントロールしていきます。 期間の目安は、一般的に2~3年程度ですが、症例によって異なります。
-
装置の撤去・保定装置(リテーナー)の装着
歯が理想の位置に並んだら、矯正装置を取り外します。 歯は元の位置に戻ろうとする(後戻り)ため、それを防ぐためにリテーナー(保定装置)を装着します。
-
保定期間・経過観察
リテーナーを指示された時間、決められた期間(通常は数ヶ月〜数年)装着し、歯並びを安定させます。 通院は3〜6ヶ月に1回程度に減ります。 この期間をしっかり行うことが、きれいな歯並びを長く維持するために最も重要です。













ネット予約
メール
LINE