新着情報
保定期間はなぜ必要?
こんにちは☀️
所沢市の矯正歯科 やまぐち矯正歯科です🦷
矯正治療が終わり、装置が外れると「やったー!治療完了」と思われる方も多いかもしれません。
しかし、矯正治療は歯を動かし終えた後がとても重要になります。
そこで必要になるのが保定期間です。
保定期間とは
保定期間とは、矯正治療で動かした歯並びを安定させるための期間です。
矯正治療で歯を動かすと、歯の周囲の骨や歯茎はまだ不安定な状態です。
歯は動かした直後元の位置に戻ろうとする性質があり、
この後戻りを防ぐために保定装置“リテーナー”を使用して定着させます。
期間はどれくらい?
保定期間の目安は最低でも1~2年程度が一般的です。
治療内容や歯並びの状態によっては、より長期間の保定が必要になることもあります。
保定装置の種類
・取り外し式リテーナー
患者さん自身で着脱するタイプの装置です。
最初は長時間使用し、徐々に装着時間を減らしていきます。

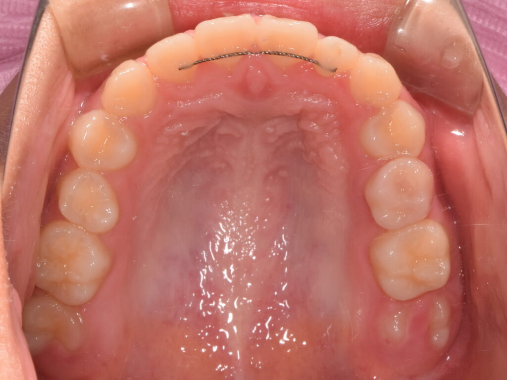
・固定式リテーナー
歯の裏側に細いワイヤーを固定するタイプです。
見えにくいのがメリットではありますが、歯ブラシが届きにくく汚れもたまりやすい傾向があります。

保定期間中に気を付けること
・指示された装着時間を守ること
・定期的な通院を続けること
・紛失、破損、変形があれば早めに相談すること
まとめ
保定期間は矯正治療の仕上げであり、とても大切な期間です。
きれいになった歯並びを長く保つためにもしっかり装置を使用しましょう。













ネット予約
メール
LINE