症例集


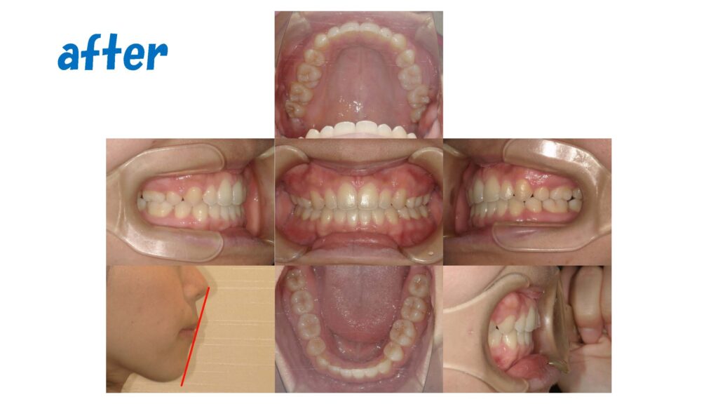
主訴:口元の突出が気になる
診断名:上下顎前突
初診時年齢・性別:24 歳・女性
治療装置:マルチブラケット装置 (表側)
抜歯or非抜歯:上下顎左右第一小臼歯、上下顎左右第三大臼歯
治療期間:2 年 7 ヶ月
リスクと副作用:痛み、歯根吸収、歯肉退縮、虫歯、後戻り
費用:基本矯正料金 (クリアブラケット) : 750,000 円 (税別)


主訴:口元の突出が気になる
診断名:上下顎前突
初診時年齢・性別:24 歳・女性
治療装置:マルチブラケット装置 (表側)
抜歯or非抜歯:上下顎左右第一小臼歯、上下顎左右第三大臼歯
治療期間:2 年 7 ヶ月
リスクと副作用:痛み、歯根吸収、歯肉退縮、虫歯、後戻り
費用:基本矯正料金 (クリアブラケット) : 750,000 円 (税別)