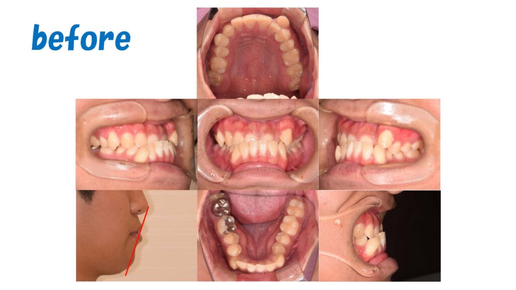
症例集


主訴:受け口が気になる
診断名:叢生、反対咬合
初診時年齢・性別:21 歳・男性
治療装置:マルチブラケット装置 (表側)
抜歯or非抜歯:抜歯 (上顎右側第二小臼歯、上顎左側第一小臼歯、下顎右側第二大臼歯、下顎左右第一小臼歯)
治療期間:2 年 9 ヶ月
リスクと副作用:痛み、歯根吸収、歯肉退縮、虫歯、後戻り
費用:基本矯正料金 (メタルブラケット) : 700,000 円 (税別)


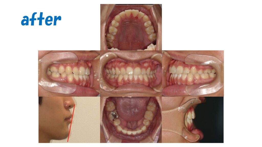
主訴:受け口が気になる
診断名:叢生、反対咬合
初診時年齢・性別:21 歳・男性
治療装置:マルチブラケット装置 (表側)
抜歯or非抜歯:抜歯 (上顎右側第二小臼歯、上顎左側第一小臼歯、下顎右側第二大臼歯、下顎左右第一小臼歯)
治療期間:2 年 9 ヶ月
リスクと副作用:痛み、歯根吸収、歯肉退縮、虫歯、後戻り
費用:基本矯正料金 (メタルブラケット) : 700,000 円 (税別)