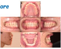
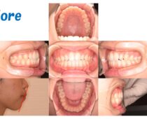
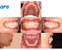
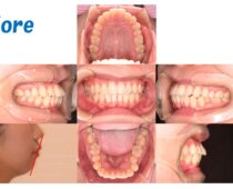
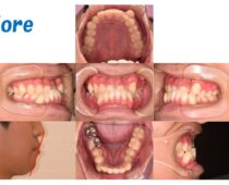
症例集

background

診療予約・ご相談はこちら なんでもお気軽にご連絡ください。

04-2941-5407

【受付時間】
月、火、水、金 11:00~13:00, 14:30~19:30
土、日 9:00~13:00、14:30~17:30
休診日:木・祝は定休、日・月・火 隔週
※5歳以下の初診相談は午前中のみ

ネット予約 メールでお問い合わせ ラインでお問い合わせ Instagramはこちら
ネット予約 tel:04-2941-5407 ラインでお問い合わせ メールでお問い合わせ
04-2941-5407