症例集


主訴:出っ歯が気になる
診断名:上下顎前突
初診時年齢・性別:28 歳・女性
治療装置:マルチブラケット装置 (表側)
抜歯or非抜歯:抜歯 (上下顎左右第一小臼歯)
治療期間:2 年 6 ヶ月
リスクと副作用:痛み、歯根吸収、歯肉退縮、虫歯、後戻り
費用:矯正基本料金 (クリアブラケット) : 750,000 円 (税抜き)


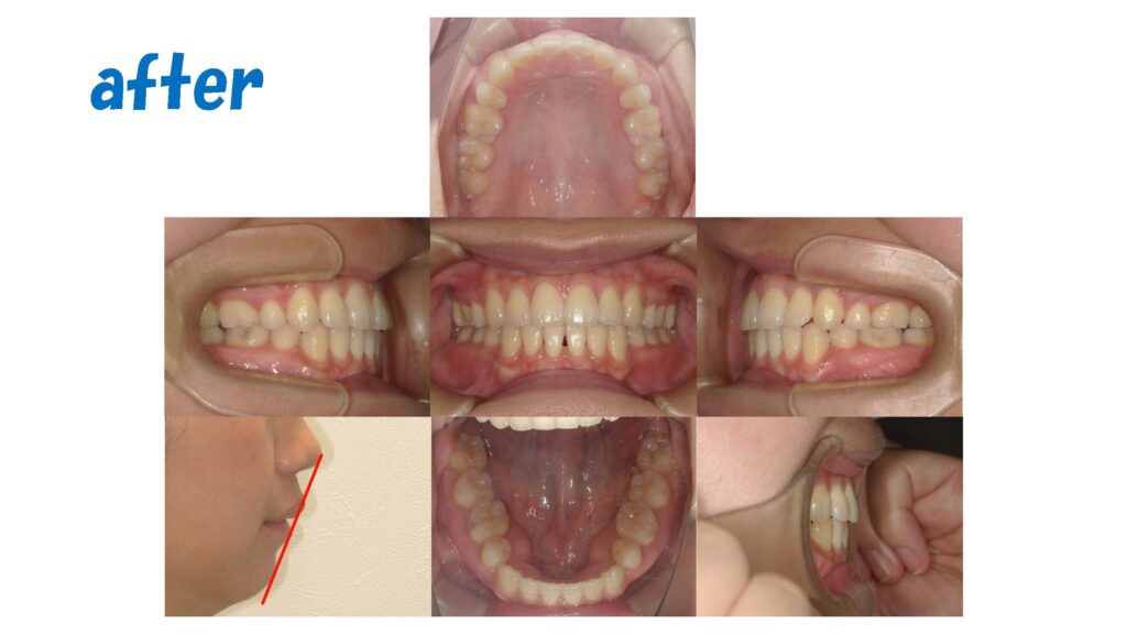
主訴:出っ歯が気になる
診断名:上下顎前突
初診時年齢・性別:28 歳・女性
治療装置:マルチブラケット装置 (表側)
抜歯or非抜歯:抜歯 (上下顎左右第一小臼歯)
治療期間:2 年 6 ヶ月
リスクと副作用:痛み、歯根吸収、歯肉退縮、虫歯、後戻り
費用:矯正基本料金 (クリアブラケット) : 750,000 円 (税抜き)