症例集


主訴:受け口が気になる
診断名:叢生、下顎前突
初診時年齢・性別:18 歳・男性
治療装置:マルチブラケット装置 (表側)
抜歯or非抜歯:非抜歯
治療期間:2 年 11 ヶ月
リスクと副作用:痛み、歯根吸収、歯肉退縮、虫歯、後戻り
費用:基本矯正料金 (メタルブラケット) : 700,000 円 (税別)


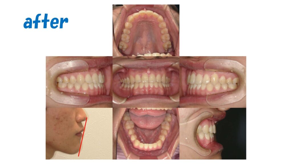
主訴:受け口が気になる
診断名:叢生、下顎前突
初診時年齢・性別:18 歳・男性
治療装置:マルチブラケット装置 (表側)
抜歯or非抜歯:非抜歯
治療期間:2 年 11 ヶ月
リスクと副作用:痛み、歯根吸収、歯肉退縮、虫歯、後戻り
費用:基本矯正料金 (メタルブラケット) : 700,000 円 (税別)